• vejaimdc@gmail.com
  • Mon to Sat : 09:45 am to 01:30 pm | 04.45 pm to 08.30 pm
Follow Us On

Showcase

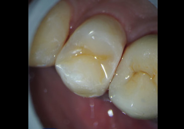
Microscopic Root Canal Procedures

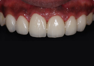
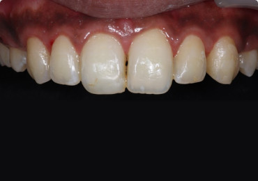
Microscopic Restorative and Cosmetic Procedures